晴れ女のわがままジャーニー(人生も旅も)

自由人です。やりたいことをやります。まず、やってみる。

2023-05-27から1日間の記事一覧

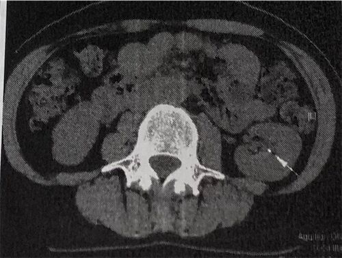
あなたは体の中に石を何個持っていますか?

私は最低2つは持っています! 右側と左側の腎臓に最低ひとつずつです。 わ〜〜〜い、わ〜〜い! じゃないわ・・・( ̄▽ ̄)/ お腹の中に石ころがあって良いことなんて一つもないし! 5、6年前から左右の腎臓に石があることはわかっていましたが、そいつがと…