晴れ女のわがままジャーニー(人生も旅も)

自由人です。やりたいことをやります。まず、やってみる。

あなたは体の中に石を何個持っていますか?

私は最低2つは持っています!

右側と左側の腎臓に最低ひとつずつです。

わ〜〜〜い、わ〜〜い!

 

じゃないわ・・・( ̄▽ ̄)/

 

お腹の中に石ころがあって良いことなんて一つもないし!

 

5、6年前から左右の腎臓に石があることはわかっていましたが、そいつがとうとう先日悪さをしてきました。

 

腎臓から尿管へとダイブしたのです。

 

そう、滑り台を滑り落ちるように滑らかに・・・だったらよかったのだけど、

 

びっくりするくらい尿管に引っかかりながら落ちやがった。

 

んもぉ〜〜下手くそーーーー!!!!

 

お祭り男(宮川大輔さん)もびっくりするくらいへったくそな落ちっぷり。

 

やってくれましたわ。

 

痛かったんですわ。

早朝から、痛さで目覚めたんですわ!

下脇腹が・・・。

 

最初、これは虫垂炎かな??と思ったりもしました。

 

痛さのレベルが急に上がった気がしたので。

 

痛さには随分強いと自負する自分ではありますが、どうも一段上がった痛みである感が否めませんでした。

 

中国語のレベルアップや、搭乗クラスのアップは大歓迎ですが、腹痛のアップグレードはちょっと厄介。

 

左右へ寝返りを打つなどして痛みが治まらないか試してもダメだったため、夫に医者に連れてってもらいました。

 

コロナ以来一度も内科の敷居をまたいだことはなかったのに!

なんかくやし〜〜。

 

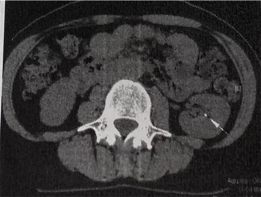
こちらがそのときに撮ったCT画像の1枚です。

f:id:KirigirisuMax:20230420124827j:image

気になったのは、背骨の歪み具合・・・

めっちゃ歪んでる。

まっすぐせんかーい!!!

 

でも、これどうやって直すんだ???

 

ねじるのか?

どっちの方向に?

骨だけねじりたいのに、お肉も全部ひねってしまい、結局ただのラジオ体操。

( T_T)\(^-^ )

 

直し方が分からない・・・。

 

ではなく、いや、背骨もかなり気になったのですが、

お話を元に戻すと、

 

採尿やCT検査の結果、石ころが腎臓にありました。

ただ、尿管結石だと言われたのに、尿管にはやつは見当たらなかったんです。

 

先生曰く、

石はCT検査前に出ちゃったのでしょう〜

だって!

 

医者なんて適当なものです。

当たっているのかもしれません。

 

でも、腹痛の原因は、他の可能性だってあります。

お医者さんは私に一切言及しませんでしたが、私はお医者さんが見ているCT画像の検査結果の検査師のコメントに「憩室を認める」と書いてあるの見逃しませんした。

 

憩室は重大な疾患ではないですが、医者は患者に対して情報を選ばずに、すべて出すべきです。

情報は、患者が米粒みたいな文字を盗み見して得るものではありません。

5千円も出して検査したのですからね!

 

人生7回の入院と手術を経た経験から、

私はお医者さんが状況証拠と主観に基づいた診断をするということを学びました。

 

現行犯逮捕ではないのです。

 

だから、冤罪だってありえます。

もしも腎臓結石さんが、まだ腎臓の一歩も外にでていないのに、出て悪さをしたと疑いをかけられていたとしたら・・・かわいそう・・・とはなりませんが、まー適当なんっすね、医者って!と石ではなく医師のほうに愚痴りたくもなります。

 

一番悪いのは変な身体をもってくる患者なのかもですけど。

 

ま、それでも今回の「腎臓」結石に関しては監視カメラにバッチリ映った犯人だったので、自信を持って報告します!

 

私、石を2つ持っています!!!

o(^▽^)o

PVアクセスランキング にほんブログ村